Skip Menu
Continue
  • 220 3rd Avenue South
  • Jacksonville Beach, FL 32250
  • Call Us Today! (904) 249-9069
  • Home
  • About Us
    • Our Office
    • Meet Our Doctor
    • Smile Gallery
    • Dental Videos
    • Testimonials
  • New Patient Packet
  • Services
      • All on 4®
      • All on 6®
      • Crowns & Caps
      • Dental Bridges
      • Dental Fillings
      • Dental Laboratory
      • Dentures
      • Digital Radiography
      • Emergency Treatment
      • Implant Dentistry
      • Night Guards
      • Oral Cancer Screening
      • Pediatric Dentistry
      • Periodontal Treatment
      • Sports Mouthguards
      • Teeth Whitening
      • TMJ Disorders
      • Veneers
    • View All
  • Dental Health
  • Contact
    • Contact Us
    • Request Appointment

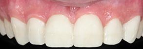
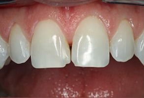
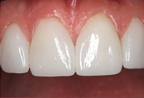
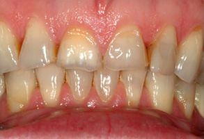
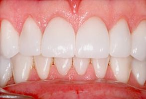
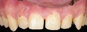
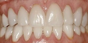
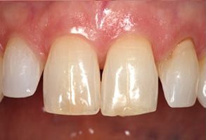
Smile Gallery

Additional Information

Our Location

220 3rd Avenue South
Jacksonville Beach, FL 32250
(904) 249-9069

Follow Us